| 
								 
								| 
									 
									|  | 携帯ホームページ |  
									 
									|  | QRコード対応ケータイをお持ちの方は上記のコードを読み取るだけで簡単にアクセスが出来ます。 |  |  |  | 
| 
 
 
 
 
 
 
 
 
 
 
 
 
 
 
 
 
| 
	 
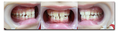
	|  | プレトレーナー適用例1 12歳男子 |  |  
 
|  |  
 
|  |  
すべて永久歯に生え換わっています。 
|  |  
 
  使用前は前歯の出っ張り具合が気に入らなくて来院。プレトレーナーによる矯正を開始。
 
  2ヶ月後、全体的に気にならなくなってお母さんも本人もびっくり!
 毎日使用すると綺麗に歯が動きますね。このまま装置を使用しつつしばらく経過を観察します。
 
 
 
 
 
 
 
乳歯と永久歯が混在中 
| 
	 
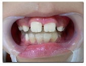
	|  | プレトレーナー適用例2 8歳女子 |  |  
 
  使用前は上の歯に対し下の歯が噛み合わせで見えません。つまりしたの顎が後退している状態です。
 
  プレトレーナー矯正を初めて2ヶ月後、顎位が正常に戻りつつあります。歯並びも綺麗に並ぶといいな・・・
 このまま装置を使用しつつしばらく経過を観察します。
 
 
 
 
 
 
 
 
| 
	 
	|  | シールド矯正治療症例1  ※保険対象外の治療となります |  |   かみ合わせの異常 
 
 | 前歯が逆になってしまいましたとお母さんが連れてきました。
今の時期なら簡単に歯の向きは変えられるとお話ししました。
 
 一週間後に、下の歯にプレート装置をすぐに装着しました。
   |  | 
 
 
  たった2週間で前歯の角度がかわり外側に出ました。これでもう安心です。
あとはきれいに並ぶのを祈ります。 
 
  きれいに並んできたのもつかのまさらに隣の右側の歯がねじれて生えてきました。
これはこの装置では、修正できません。 
 
 
 
 
 
 
 
| 
	 
	|  | シールド矯正治療症例2  ※保険対象外の治療となります |  |   4歳から5歳のかみ合わせの異常 
 
 | 協力が得られる子にはマウスピースタイプのシールド矯正治療を行えます。
このような透明のプラスチック保護床を夜間装着します。
 |  | 
 
 
  下の前歯が抜けました。上の前歯の4本が少しずつ前に出てきました。 
 
 | 下の前歯の永久歯が出てきました。上の歯より内側に入って欲しいです。
 |  | 
 
 
  めでたく、上の歯より内側に収まってくれました。これで安心です。上の歯も大人の歯に生え変わるまで、じっくり成長を観察してゆきます。 
 
  上の子どもの歯が抜けました。大人の歯が出てくるのを待ちます。
下の歯より外に出てきてね! 
 
  しばらく来ない内に
上の歯が出てきました。
お母さんが心配して連れて来ましたが
下の歯より内側に入ってしまい
反対咬合になってしまいそうです。
あわててスライディングプレートに切り替えました。 
 
  少しずつ上の大人の歯が前に出てきました。
もう少しでかみ合わせが改善されるでしょう。
右側も内側に入らないように注意して観察します。 
 
  前歯の永久歯が出てきて安定したかみ合わせになりました。
めでたしめでたし。
今後は奥歯と前歯の間の歯の萌え換わりに注意していきます。 
 
 
 |  
|   |  
 
 
| 
	 
	|  | シールド矯正治療症例3  ※保険対象外の治療となります |  |  
 
|  |  
 
|  |  
 
|  |   4歳の噛み合わせの異常 | この子もマウスピースタイプのシールド矯正を希望して来院しました。
この子も症例1の子と同様、透明のプラスチック保護床を夜間装着します。
 | 
 
 
  装着後、2か月くらい。まだ変化は見られません。
このまま経過をみます。 
 
  装着後、4か月位。前歯の被蓋が正常になりましたが
奥歯の噛み合わせがまだ安定していません。
継続して装着してもらいます。 
 
  装着後、7ヵ月位。
だんだん安定してきました。 
 
  装着後、11ヵ月位。
奥歯の噛み合わせも安定してきました。
後は、前歯の萌え換わりに注意して経過をみていきます。 
 
 
 
 
| 
	 
	|  | シールド矯正治療症例4  ※保険対象外の治療となります |  |  
 
|  |  
 
|  |  
 
|  |   噛み合わせの異常 | 10月8日、前歯が大人の歯に生え変わって
歯並びが逆になってしまいました。
しばらく様子をみていたようですが
一向に治らず、顎が突き出てきたので
心配になり当院を受診しました。
 | 
 
 
  すぐに、かたどりをし下の歯に取り外し式の
スライディングプレートを毎日装着するように
勧め、協力してもらいました。 
 
  少しずつ歯が前に出てきました。
もうすこし頑張って装着してもらいます。 
 
  前歯の並びはおよそ正常な位置に
なりましたが、奥歯が噛み合わずに隙間が残っています。
今後、歯の萌出に伴い奥歯でもかめるようになってきますが
経過観察が必要です。 
 
 
 
 
 
 
| 
	 
	|  | プレート矯正治療  ※保険対象外の治療となります |  |  
 
|  |  
 
|  |  
 
|  |  | 6歳から7歳のかみ合わせ異常。永久歯が既に生えていますが、
かみ合わせが逆になってしまっています。
 |  | 
 
 
 | 上の歯が下の歯の手前に来るように
下の歯に床タイプのスライディングプレートを装着しました。
 |    | 
 
 
 | 上の歯が下の歯の手前に来るように
下の歯に床タイプのスライディングプレートを装着しました。
効果がなかなか得られなかったので、装置を作り変えた所
歯の萌出に伴い、かみ合わせが正常な位置に戻りつつあります。
下の歯のねじれは変えられません。
 |    | 
 
 
  脇の子どもの歯も抜け替わり、大人の歯もでてきましたが上の歯が下の歯の裏側に入りそうです。 
 
   
 
  右下の前歯は前後が逆のままになってしまいました。
プレート矯正では、これ以上の効果が期待できないため
ワイヤー矯正に移行する事になりました。 | 本格的な矯正装置です。上あごの歯の後ろ側に装着しワイヤーで前歯を前方に押し出しています。装置による汚れの停滞で虫歯になるのをしっかり防がなければなりません。
 |  | 
 
 
   
 
 
 
 
 
| 
	 
	|  | 小帯異常・プレート矯正治療  ※保険対象外の治療となります |  |   片側の前歯のねじれとかみ合わせの異常で来院しました。
上唇の裏側から前歯の歯茎にかけて太い筋が見られます。
この小帯付着異常が原因と考えられます。 
 
 | 小帯付着異常部を切除しました。小帯切除術は保険治療の対象です。
これだけでは歯並びは改善しません。
 |  | 
 
 
 | 下の歯にスライディングプレートを装着しました。
 |  | 
 
 
 | 前歯のかみ合わせは改善しましたが、さらに
となりの永久歯も下の歯の裏側に入りそうです。
新たに装置を作り変えました。
 |  | 
 
 
  両脇の乳歯が抜けて大人の歯が出てきました。こちらも下の歯の裏側に入りそうです。 
 
  プレートを利用していたところ、もう少しで下の歯より前に出てくれそうです。まだ注意が必要です。 
 
 
 
 
 
| 
	 
	|  | 小矯正治療(見えない装置) |  |      | 前歯のねじれを気にしてお母さんと9歳の女の子が来院されました。
すきまもあったので、無理やり白いプラスチックで埋めてありました。
撮影等でTVなどにも出演する関係上
よりよく改善を求められましたので目立たない装置で
前歯だけを綺麗に並べ替える事を希望されました。 | 
 
 
    さっそく目立たないように前歯の裏側からねじれをとるように
治療を始めました。わずか数週間でねじれはとれましたが
長期にコレを維持するのは通常困難です。
しばらく装置をつけたまま経過を見ます。 
 
 
    ねじれが改善されて安定しています。
力をかけずにワイヤーで固定しました。
周りの歯が生え変わるまで
経過を見ます。
上顎前突、いわゆる出っ歯は
このままでは改善しません。
下の歯のハナラビも気になる所ですが
装置の関係上、治療を見合わせています。 
 
 
 
 
 
 
 
 |